Dental Crowns & Bridges in Wilmette, IL
At Wilmette Dental Institute, we see your smile as an expression of joy and a fundamental part of who you are. We understand how broken, decayed, or missing teeth can impact your comfort and confidence and offer high-quality dental crowns and bridges to restore your healthy, radiant smile. 
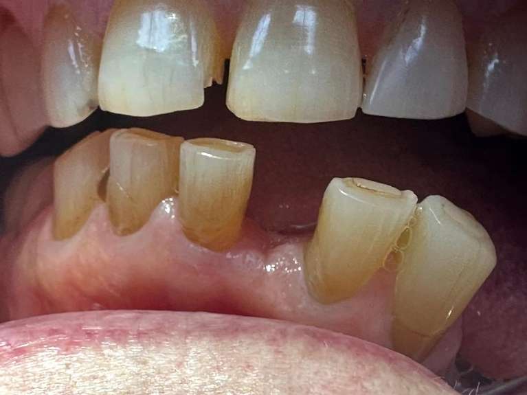
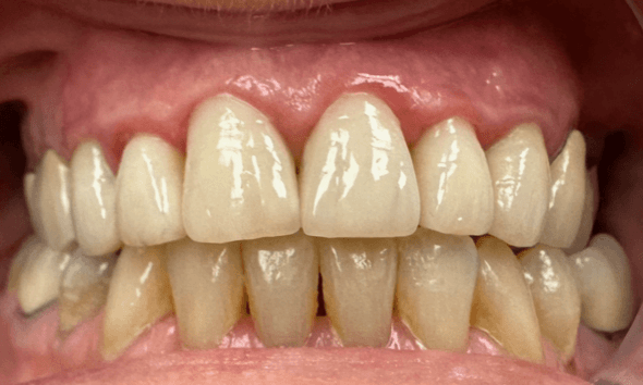
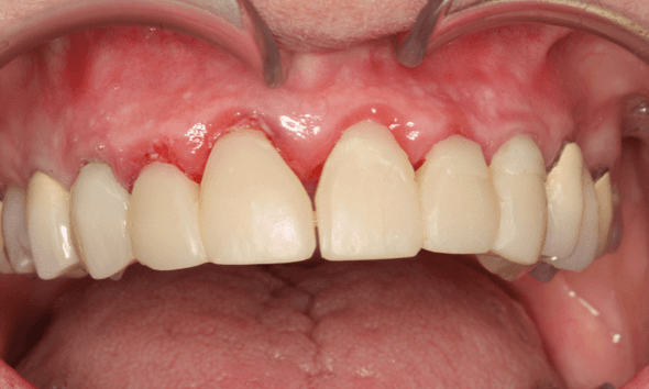
Dental Crowns: A Durable Tooth Repair
A dental crown also called a "cap," acts like a helmet for your damaged or decayed tooth. It provides a strong, protective cover that restores comfortable chewing function and improves your smile’s aesthetics.
Dr. Nolan Patel can create crowns from materials like gold, porcelain, or porcelain-fused-to-metal. However, we most commonly recommend crowns made of zirconia or e-Max for their excellent durability and realistic appearance.
Your Smile Deserves the Best