Wilmette Dental Institute
Dr. Nolan Patel

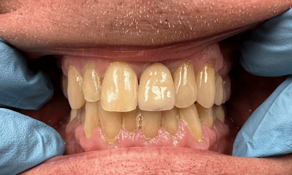
Smile Gallery

How Can We Help You Love Your Smile?

We're passionate about creating healthy, beautiful smiles and would love to see how we can help you. Take a look at the before and after pictures of our actual patients, then call us to schedule an appointment to get started! 

Ready to book an appointment?
No pain. Quick procedure

Dr. Nolan did a great job of attaching my two new implants. He explained what he was doing and carefully checked my bite. No pain. Quick procedure. All good seen on x-ray.

 

If you have difficulty using our website, please email us or call us at (847) 251-3110
View the ADA Accessibility Statement